Профессиональное отбеливание зубов – это самый эффективный способ восстановления естественной белизны эмали и привлекательной улыбки, а также качественная профилактика от различных стоматологических проблем.
Благодаря развитию эстетической стоматологии, наибольшую популярность в последнее время получило эффективное и безболезненное лазерное отбеливание зубов с сохранением стойкого результата на долгое время. Лазерное отбеливание показало среднее улучшение цвета на семь тонов по цветной шкале VITA. Многочисленные научные исследования, проведенные в России и за рубежом показали, что эффективность лазера в 30 раз превышает результаты любых других способов отбеливания. Принцип очистки заключается в активизации отбеливающего геля за счет воздействия лазера. В процессе происходит расщепление белковых соединений из дентита и придание зубам сияющего белоснежного оттенка.
Прежде всего, мы советуем обязательно посетить стоматологию и переговорить с врачами, а не ориентироваться только на рекламные объявления и информацию в Интернете. Помимо того, что вы сможете оценить уровень технического оснащения нашей клиники и общую атмосферу, у Вас появится возможность посетить кабинет, где вам будут проводить процедуры, ознакомиться с сертификатами и дипломами специалистов. Мы приглашаем Вас в современную стоматологическую клинику «АльфаДент», где вы сможете получить исчерпывающую информацию по всем вопросам и пообщаться с нашими специалистами лично.
Процедура отбеливания лазером способствует не только косметическому эффекту, но и укрепляет зубы! Все дело в фосфате кальция, используемом в системе. Он проникает в царапины на зубной эмали, наполняет их собой и сразу кристаллизуется, образуя нерастворимый компонент. Эмаль от этого становится гладкой и крепкой, понижается её проницаемость, что обеспечивает увеличение защиты от кариеса. Луч лазера обладает бактерицидным свойством поэтому воздействуя на поверхность зубов, он также защищает их от кариозных образований.
Эффект считается не только одним из самых эффективных, но и самым долговечным! Зубы сохраняют (при соблюдении всех рекомендаций) приобретенный цвет до 5 лет! Однако эффект может держаться и дольше. Это зависит от таких факторов, как уход за зубами, курение, употребление черного чая, кофе, вина и т.д. Для поддержания белоснежной улыбки следует лишь каждые полгода делать обязательный осмотр у стоматолога с профилактикой образования зубного камня и зубного налета, а также соблюдать гигиену полости рта. Однако можно с уверенностью сказать, что после применения лазера, даже спустя большое количество времени, зубы больше не вернутся к тому цвету, который они имели до прохождения процедуры. При повторной процедуре, использовании домашних систем, результат только укрепится и улучшится.

Благодаря простой методике и применению современного оборудования, врач проводит процедуры всего за 30-40 минут, что в 2-3 раза быстрее, чем у конкурентных методик;

При лазерном отбеливании не используются никакие абразивы, поэтому не требуется никакое обезболивание.

При наличии существенного налета, отчетливый эффект достигается уже после первой процедуры. За 2-3 процедуры удается добиться идеальной белизны;

Полученный эффект белизны держится от полугода до нескольких лет, что существенно выше, чем у конкретных решений.
Лазер в данном случае воздействует только на необходимые соединения без излишней пересушки. Низкая продолжительность процедуры способствует снижению влияния состава на твердую структуру зуба – это позволяет применять лазер даже на зубах с начальным кариесом, без риска повреждения эмали (защита десны от уф-излучения обеспечивается специальным составом). Процедура лазерного отбеливания, из-за своего компонентного состава и ультрафиолетового излучения, является эффективной профилактикой против кариеса и ряда инфекций ротовой полости.
Процедура показана пациентам:
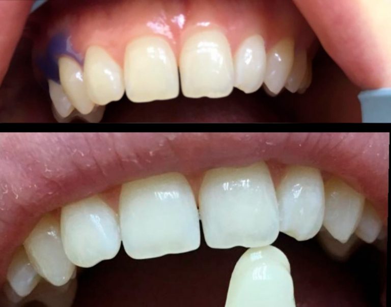
Перед тем как принять решение о необходимости проведения процедуры, рекомендуем вам ознакомиться с фото до и после лазерного отбеливания зубов – это позволит правильно оценить возможные улучшения цвета вашей улыбки.
Отбеливание зубов лазером считается полностью безопасным. Лазер настраивают исключительно под индивидуальные особенности пациента. Основой отбеливающего геля является перекись водорода либо пероксид карбамида. Оба химических элемента распадаются с образованием активных радикалов кислорода, которые внедряются в поверхностные слои эмали и уничтожают пигменты. Навредить можно только тем, кто имеет аллергию и непереносимость компонентов гелевого состава. Перед решением о проведении лазерного отбеливания необходимо проконсультироваться с врачом.

Откажитесь от вредных привычек, в первую очередь – курение. Табачный никотин способствует быстрому пожелтению очищенной эмали;

В первые 2 недели после процедуры, ограничьте употребление крепкого чая, кофе, а также продуктов с выраженным окрашивающим эффектом, например, красного вина и экзотических фруктов;

Обеспечьте правильный ежедневный уход за полостью рта: тщательно очищайте зубы утром и вечером, пользуйтесь зубной нитью и ополаскивателем;

В течение 2-х дней после процедуры женщинам запрещается красить губы.
При этом по словам пациентов, отсутствует какой-либо дискомфорт во время пережевывания пищи, не требуется регулярно проводить сложный специальный уход, достаточно соблюдать стандартные рекомендации стоматолога.
Стоимость отбеливания зубов в Оренбурге может существенно отличаться, в зависимости от ряда факторов: условий лечения, качества используемых материалов и оборудования, квалификации врачей и т.д.
Специализированная стоматологическая поликлиника «АльфаДент» предлагает услугу отбеливания зубов на выгодных для клиента условиях. Наши врачи подбирают оптимальный метод исходя из текущего состояния зубов пациента, его физиологии, пожеланий и финансовых возможностей.
Сделайте свою улыбку привлекательной вместе с «АльфаДент» уже сегодня!
Адрес:
г. Оренбург, ул. Брестская, 11
Время работы:
пн-пт: 08:00-20:00
сб-вс: 08:00-17:00
Стоимость услуг не является публичной офертой, указана средняя стоимость предоставления услуг, конечная стоимость предоставляемых услуг зависит от объема проведенных работ и специфики каждого конкретного случая.
|
|
||
|---|---|---|
| A16.07.050.001 Профессиональное отбеливание зубов клиническое часовое за один визит (2 челюсти в линии улыбки) с применением диодного лазера | 34 155 руб. | |
| A16.07.050.002 Профессиональное отбеливание 1 зуба с применением диодного лазера / лампа | 4 428 руб. | |
| A16.07.050.003 Профессиональное отбеливание зубов клиническое часовое за один визит (2 челюсти в линии улыбки) с применением аппарата Beyond Polus | 25 300 руб. | |
| A16.07.050.004 Профессиональное отбеливание зубов капповое домашнее 2 челюсти (Набор Opalescence TresWhite Supreme Melon 10%, вкус дыни, вкус мяты) | 19 608 руб. | |
| A16.07.050.005 Капа для аппликаций Sherbet двойная (10 шт) | 1 012 руб. | |
| A16.07.050.005 Капа для аппликаций Sherbet двойная (1 шт) | 127 руб. | |
| A16.07.050.005 Индивидуальная каппа для домашнего отбеливания и реминерализирующей терапии | 20 240 руб. | |
| A16.07.050.005 Индивидуальная каппа для домашнего отбеливания и реминерализирующей терапии (ВАКУМ-ФОРМЕР) | 6 958 руб. | |
| Набор для домашнего отбеливания Opalescence PF 10% Refill Kit Rgular, 8 шприцов | 14 548 руб. | |
| Набор для домашнего отбеливания Opalescence PF 15% Refill Kit Rgular, 8 шприцов | 14 548 руб. | |
| Набор для домашнего отбеливания Opalescence PF 10% Patient Kit | 1 898 руб. | |
| Отбеливающая система Zoom! Day White 9,5% HP | 13 915 руб. | |
| A16.07.050.006 Профессиональное отбеливание зубов дополнительный шприц отбеливающего материала из набора домашнего отбеливания | 1 645 руб. | |
| A16.07.050.007 Профессиональное отбеливание зубов внутрикоронковое для невитальных измененных в цвете зубов (1 зуб) | 3 542 руб. | |
| A16.07.030.004 Обработка корневого канала с применением лазера | 1 898 руб. | |
| A22.30.033.002 Коагуляция кровоточащего сосуда лазерная | 1 265 руб. | |
| А16.07.042.001 Пластика уздечки верхней губы с применением хирургического лазера | 6 325 руб. | |
| А16.07.043.001 Пластика уздечки нижней губы с применением хирургического лазера | 6 325 руб. | |
| А16.07.044.001 Пластика уздечки языка с применением хирургического лазера | 6 325 руб. | |
| А16.07.026.001 Гингивэктомия с применением хирургического лазера | 3 163 руб. | |
| А16.07.089.001 Гингивопластика с применением хирургического лазера | 4 428 руб. | |
| А16:07.045.001 Вестибулопластика с применением хирургического лазера | 5 060 руб. | |
| A22.07.001.001 Лазерная обработка патологических зубодесневых карманов с применением хирургического лазера (1 зуб) | 1 265 руб. | |
| A16.07.039.003 Закрытый кюретаж при заболеваниях пародонта в области 3 зубов с использование хирургического лазера | 4 428 руб. | |
| A11.07.022.001 Лечение герпеса, афтозного стоматита, хейлита, гирерэстезии, биостимуляция с применением лазера | 805 руб. | |
| А16.30.032.006 Иссечение новообразования мягких тканей (папиллома, фиброма, эпулис, ретенционная киста, гипертрофический гингивит, устранение рубцов) с применением хирургического лазера | 8 050 руб. |
Услуги отбеливания оказывают профессиональные врачи-терапевты, практикующие более 10 лет.
Наши опытные специалисты заботятся о вашем здоровье и комфорте, используя современное оборудование и передовые технологии. Отзывы наших клиентов говорят сами за себя.
Приходил в клинику провести гигиену зубов. Да и вообще узнать, может я как-то не так делаю дома. Ну естественно— это небо и земля. Врач показал где и как я не дочищаю, проведя полную глубокую гигиену. В клинике уютно, чисто. В общем, 5 баллов)
Проходила чистку зубов по швейцарскому протоколу у Богдановой Анастасии Андреевны. Результатом очень довольна. Анастасия Андреевна- замечательная девушка и врач, очень добрая, чуткая, внимательная к пациенту. Все профессионально посмотрит, объяснит, предложит программу лечения. Спасибо.
Была на приеме 23.06.25 у Макаевой Л.Р. Делала гигиену полости рта. Врач выполнила все на высшем уровне. Данную процедуру делаю 2 раза в год регулярно, но у данного врача впервые, так вот теперь только к ней!
Из Альфа Дент я вчера вернулся после проф-чистки зубов. У меня убрали полностью налет. Теперь зубы не серые и зубной камень с них удалили
Методика AirFlow мне помогает. Главное чтоб врач был профессионал. В другой клинике делал. Там мне зуб повредили скалером. В этой работают аккуратно. Зубной налет убрали, все прочистили. Эмаль не стерли
После консультации решила сделать отбеливание зубов. Я переживала, будет ли это больно, но впечатление оказалось совершенно иным. Врачи знают своё дело, а результат меня порадовал.
После чистки зубы стали такие гладкие, будто отполированные! В Альфаденте используют хорошее оборудование. Я очень довольна!
Сделала гигиеническую чистку, зубы стали заметно белее и гладкие на ощупь. Ощущение свежести на весь день! В Альфадент приятная атмосфера и вежливый персонал.
Давно хотела отбелить зубы, но все боялась. В Альфадент сделали все очень деликатно, и теперь я не могу налюбоваться своей улыбкой! Результат превзошел все мои ожидания!
Я делала чистку у Юлии Юрьевны. Она грамотный и аккуратный врач. Отлично счистила мне пожелтевший налёт.
Был на гигиене полости рта, давно не чувствовал такой свежести. Теперь буду ходить только к вам!
Делали профессиональную очистку и отбеливание зубов, всё прошло максимально качественно. Об всём рассказали и подсказали, в будущем обязательно обращусь вновь в Альфа дент.
Зубки теперь на 4 тона светлее и без налета, приятно посмотреть. Благодарю вас за отличную работу и сотрудничество
Делал профессиональную гигиену полости рта. Чистка заняла час, но результат того стоит. Зубы блестят, чувствую себя моложе.
Делал профессиональную чистку перед важной встречей. Сняли все зубные отложения. Зубы стали очень белыми и красивыми
После переезда в новый район долго не могла найти нормальную стоматологию. Эта клиника просто находка. За последние полгода вылечила все проблемные зубы, сделала чистку. Цены средние по городу, а качество обслуживания и лечения на высшем уровне.
Техника Airflow пошла мне на пользу. Стоматолог тщательно прочистил зубы от коричневых следов на зубах
Пришла на прием. Врач одобрила отбеливание. Заняло около 1.5 часа. Зубы стали белее на 3 тона.
Записалась на отбеливание. На воскресенье)). Очень удобно, если вам не хочется с работы срываться и тратить время в будние дни. По праздникам, насколько поняла, тоже работают. Благодаря врачу, теперь не стесняюсь улыбаться, очень понравилось! Буду еще обращаться по необходимости.
Посетила Медцентр для проведения процедуры чистки зубов. Мне очень понравилось, что используется первоклассное оборудование, что делает процесс максимально комфортным. Врач очень внимательно отнеслась к моим замечаниям и качественно выполнила работу. Специалисты высшей категории.
Полезные статьи и научные публикации от ведущих специалистов в области стоматологии.
г. Оренбург,
ул. Брестская, 11, 3 этаж
пн-пт: 08:00-20:00
сб-вс: 08:00-17:00
г. Оренбург,
ул. Пролетарская, 294
пн-пт: 08:00-20:00
сб-вс: 08:00-17:00
Разработка и продвижение сайта: Linkodium (2021)
Оставьте заявку и мы свяжемся с вами в ближайшее рабочее время, чтобы уточнить детали.
Оставьте заявку и мы свяжемся с вами в ближайшее рабочее время, чтобы уточнить детали.